TEETH WHITENING

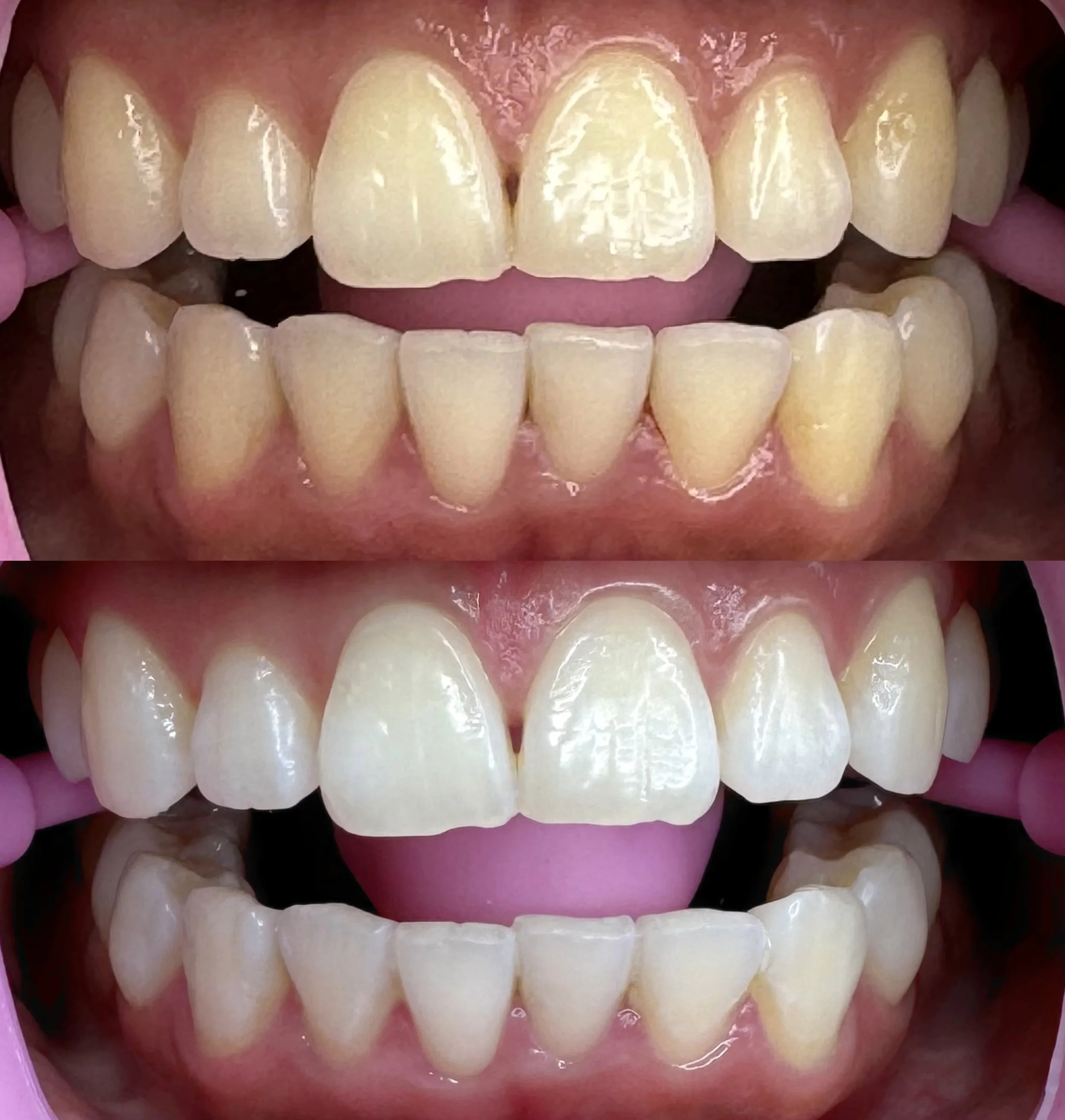
Teeth whitening is an In-chair whitening service provided at Desire Brows.

With 6+ years of experience in Dentistry, Laura has all the knowledge and experience to give you the understanding and reassurance with this service.

What causes staining?

There are two types of tooth staining; Extrinsic and intrinsic.

Extrinsic stains are far more common than intrinsic staining. These stains are far more superficial. These stains can be caused by certain foods, drinks and tobacco that can move into the outer layers of your tooth structure and stain your teeth. Some of the most common staining causes include:

  • Red sauces

  • Red wine

  • Tea/coffee

  • Smoking


Intrinsic stains are those that form on the interior of the teeth. These stains are a result of trauma, ageing, antibiotics or an excessive ingestion of fluoride. These stains exist below the enamel and are unlikely to benefit from teeth whitening.

Teeth Whitening should be avoided If:

  • You are pregnant of breast feeding

  • You have highly sensitive teeth, cracks or exposed dentine.

  • You have existing crowns of fillings in the "smile zone". Crowns/ fillings/ veneers will not lighten beyond the original shade installed.

  • You have orthodontic brackets or braces


Is it safe?

Here at 06 Beauty we take all measures to ensure you have an enjoyable and safe experience. We use whats called a gingival barrier which we line on your gums to protect and ensure no bleaching agent makes contact with your precious gums.

Further risks can come into play if you are not up to date with your dental visits. We are unable to service you if you have any cracks, receding gums or excess decay.

Aftercare instructions:

The first 48 hours after the whitening treatment are important in enhancing and maximising your whitening results for a long lasting and bright smile. For the following 48 hours you must:

  • Avoid any dark staining drinks and foods such as; tea, coffee, red wine, bolognese, soy sauce and red meat. The general rule of thumb is to avoid anything that would stain if you were to drop it on a white shirt.

  • Avoid smoking


If you do consume any of the above, we recommend brushing your teeth immediately after your meal or beverage.

TOOTH GEMS

Tooth gems are small jewels or ornaments applied to the surface of teeth for cosmetic purposes.

Typically made from crystals, diamonds, or other gems, they are bonded to the tooth with dental adhesive.

Tooth gems can last from several months to a few years depending on various factors such as oral hygiene, the quality of the bonding, and the wearer's habits.

When applied by a professional, tooth gems are generally safe and non-invasive, causing no damage to the tooth's enamel.

It is important to regularly see a qualified Dental professional to maintain good oral hygiene and to ensure longevity of the tooth gems, without causing harm to surrounding teeth and gums.

Book Now